国立駅徒歩2分の歯医者|くにたち旭通り歯科
土日診療・夜19時まで
HOME
当院の特徴
診療案内
治療の流れ
ドクター紹介
院内設備
治療症例
アクセス
求人情報
お問い合わせ
〒186-0002
東京都国立市東1-7-5 弥生ビル1F
JR国立駅南口より徒歩2分
国立駅徒歩2分の歯医者|くにたち旭通り歯科
土日診療・夜19時まで
MENU
CLOSE
診療時間
月
火
水
木
金
土
日
祝
09:00-19:00
○
○
○
○
○
○
○
ー
0120-898-890
[電話受付] 9:00〜19:00
WEB予約
24時間受け付けております。
診療時間・ご予約
治療症例紹介
HOME
治療症例紹介
当院の治療症例
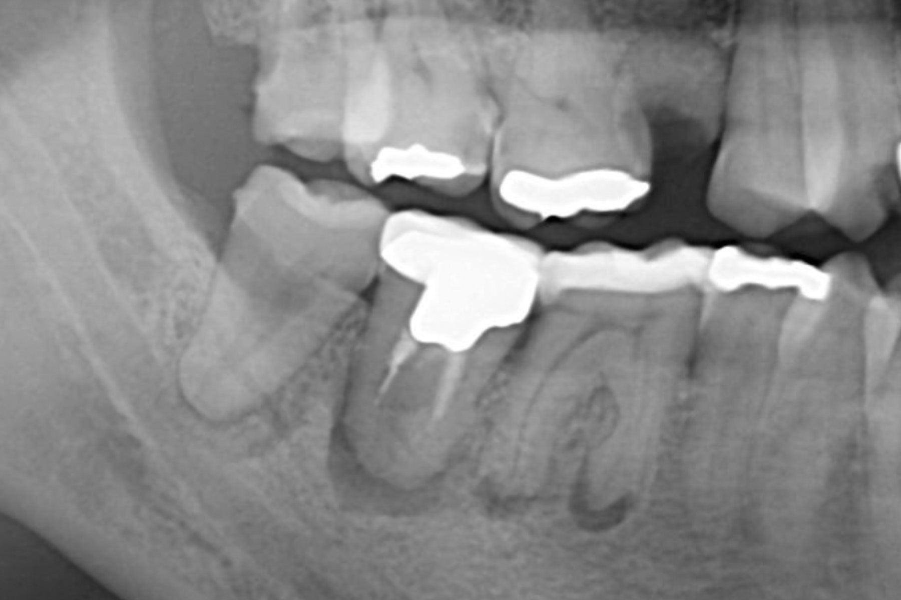
CASE1:右下の奥歯のインプラント症例
CASE1
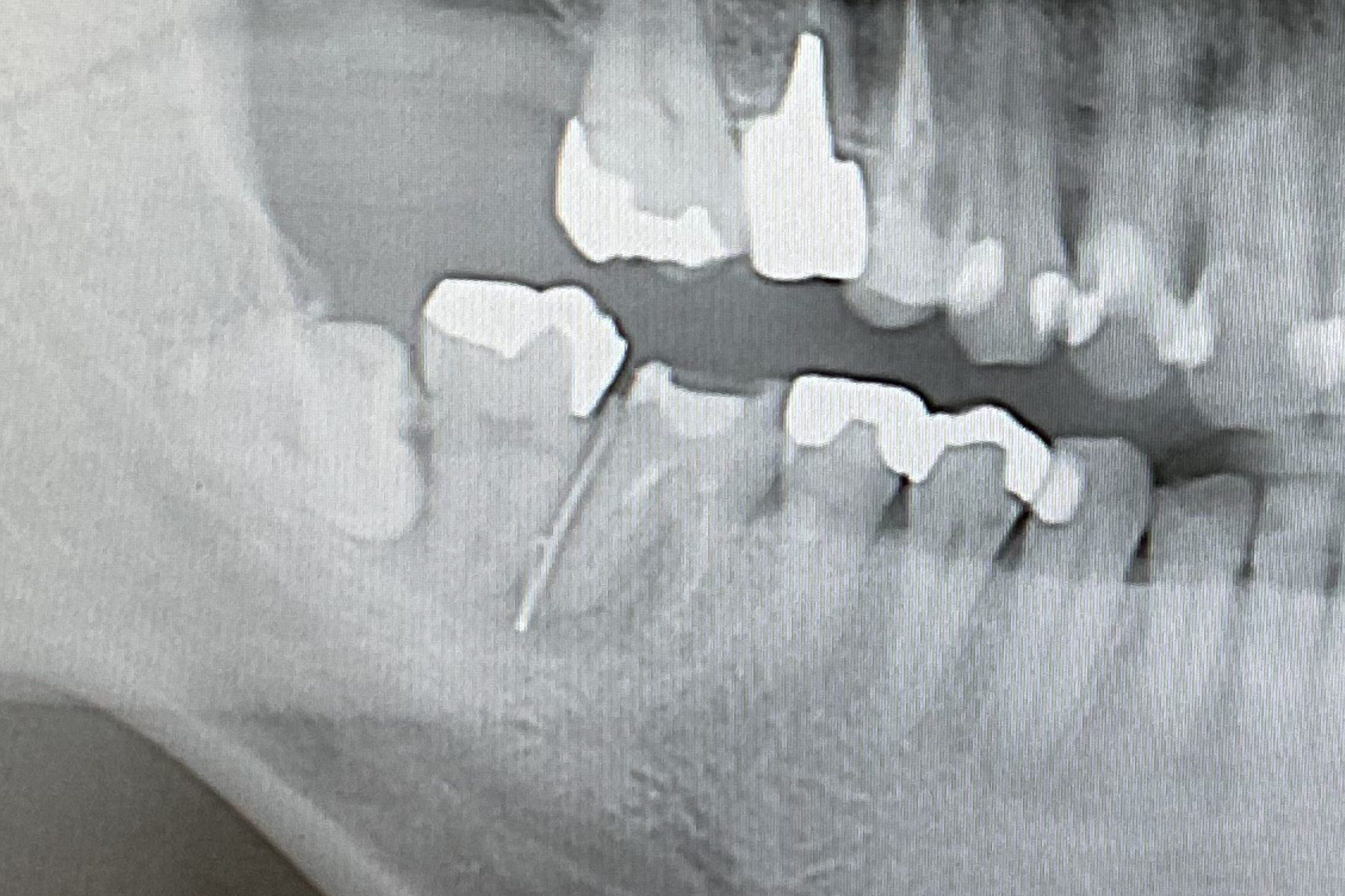
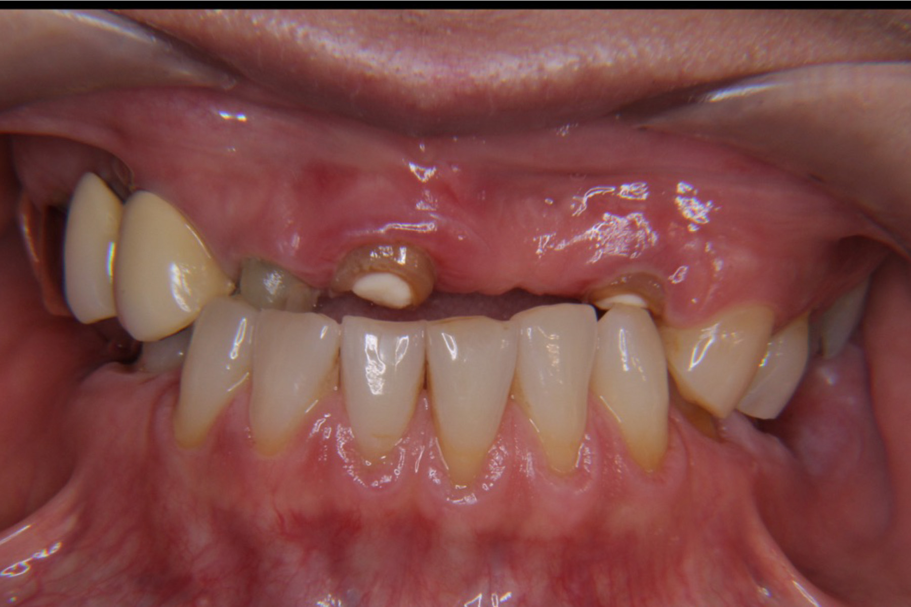
CASE2:抜歯後入れ歯の症例
CASE2
CASE3:全顎的なセラミック症例
CASE3
CASE4:全体的なむし歯治療(保険)と歯周病治療
CASE4
CASE5:金属の
即日審美修復
(ダイレクト
ボンディング)
CASE5
CASE6:セレック
セラミックおよびダイレクトボンディングによる
審美修復
CASE6
CASE7:セレックセラミックにより奥歯の銀歯を白くした症例
CASE7
CASE8:セラミッククラウン(根管治療・ホワイトニング併用)症例
CASE8
CASE9:歯茎からの
出血・腫れをクリーニングのみで改善した症例
CASE9
CASE10:むし歯を
治したい症例
CASE10
CASE11:セラミックインレー症例
CASE11
CASE12:下顎セラミックインレー症例
CASE12
CASE13:セレックインレー・クラウン
症例
CASE13
CASE14:セレックインレー・クラウン
症例
CASE14
CASE15:インプラント
症例
CASE15
CASE16:抜歯即時インプラント
症例
CASE16
CASE17:骨造成手術(サイナスリフト)
症例
CASE17
CASE18:骨造成手術(ソケットリフト)
症例
CASE18
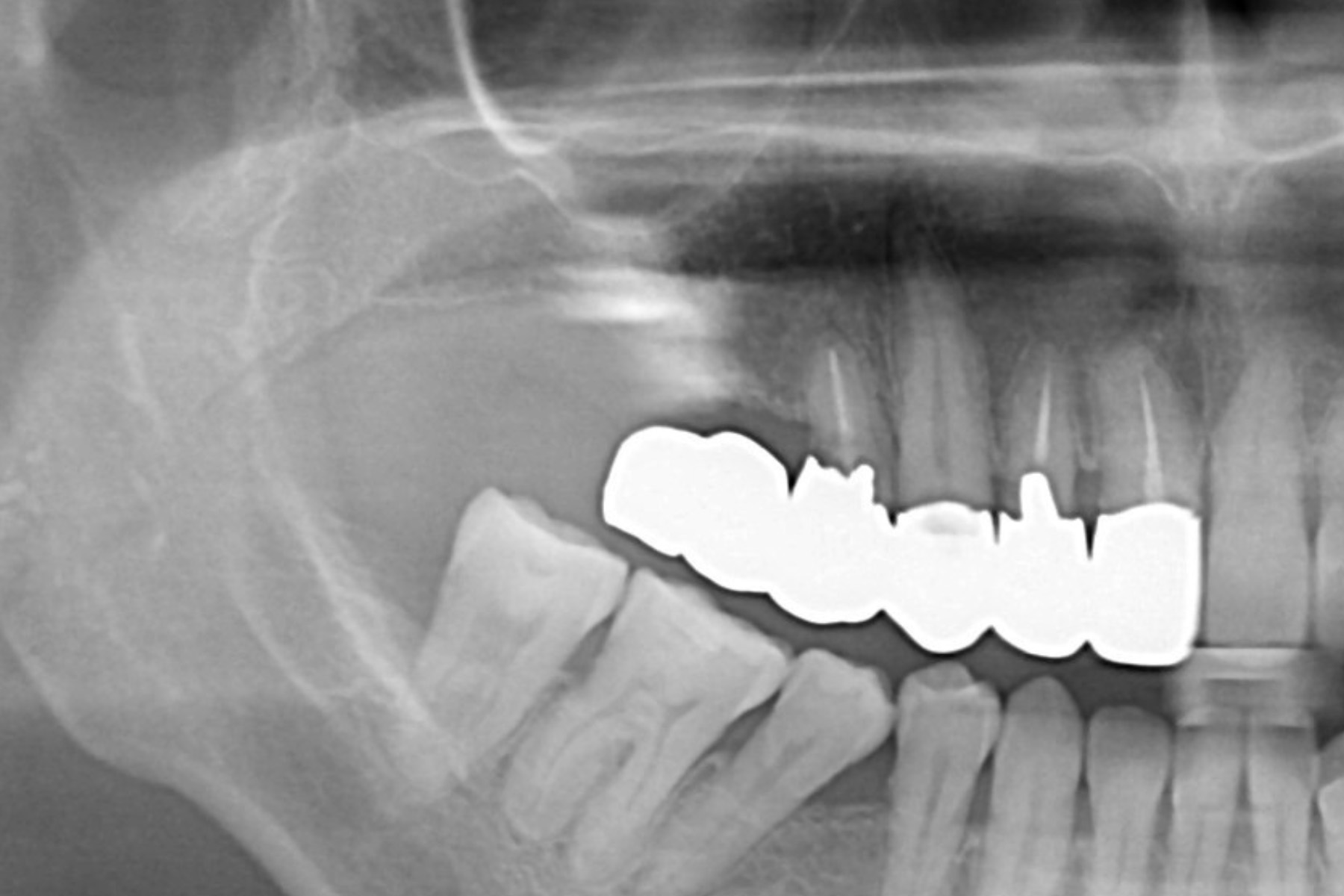
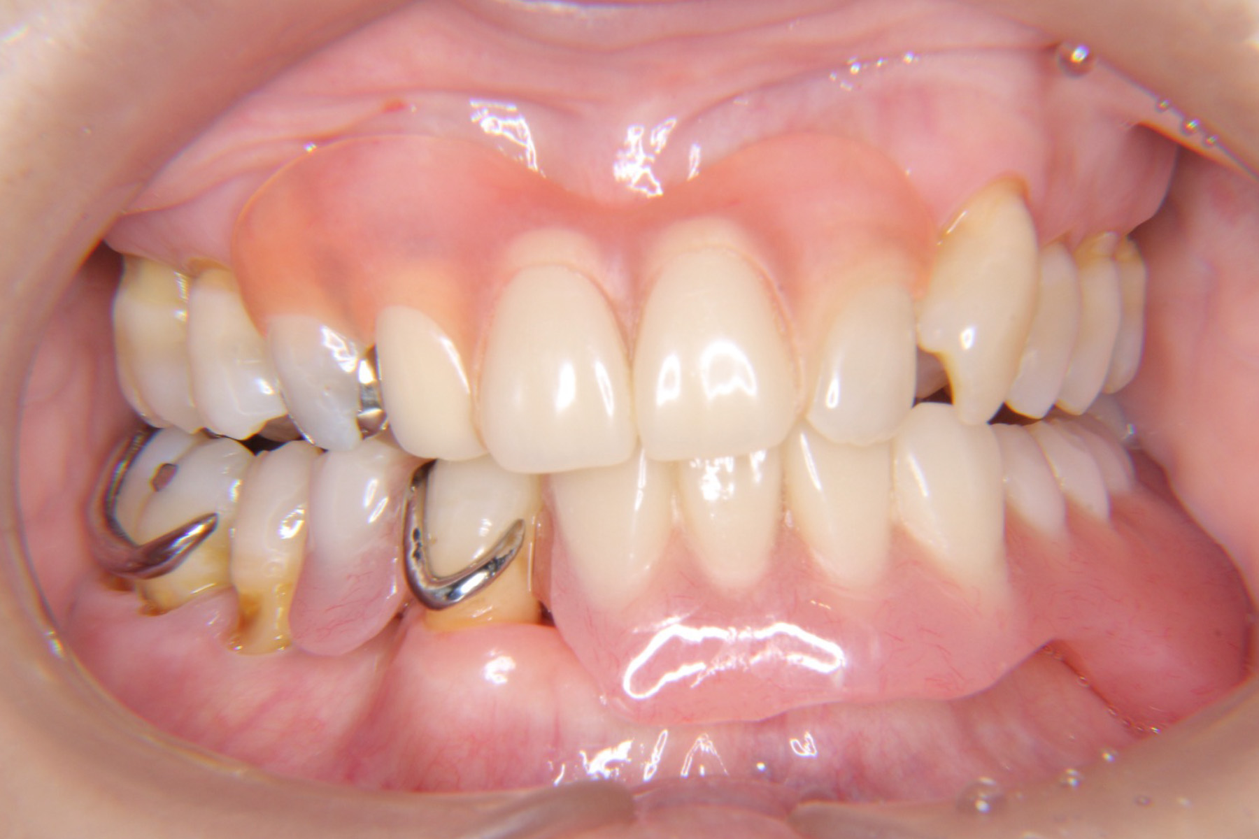
CASE19:入れ歯の
症例
CASE19
CASE20:入れ歯の
症例
CASE20
CASE21:入れ歯の
症例
CASE21
CASE22:親知らずの
症例
CASE22
CASE23:親知らずを使用した歯の移植の症例
CASE23
症例一覧